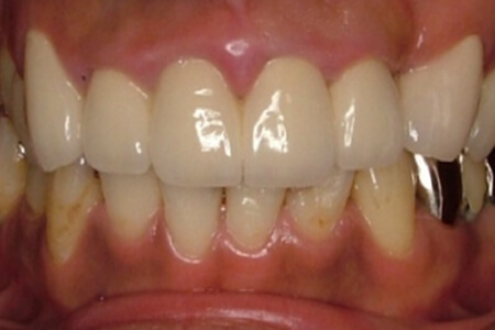
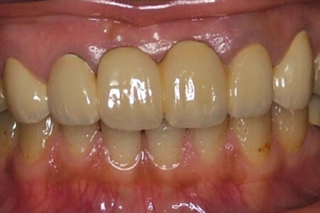
当院の審美歯科の特徴
口元の美しさは、精神面にもポジティブな効果をもたらします。
当院の審美歯科治療は歯を美しくするだけでなく、咬み合わせも考慮「審美性」と「機能性」の両方を追求していきます。

安心の10年保証
さらに安心の10年保証で、長期に渡ってさまざまなトラブルをカバー。
お気軽にスタッフまでお問い合わせください!
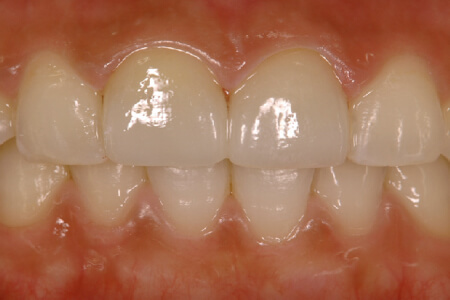
前歯のかぶせ物
オールセラミック
(審美性に優れた
高強度セラミック)
| 透明感 | ★★★★★ |
|---|---|
| 特徴 | ・変色着色しない ・摩耗しない ・金属を使わない (メタルフリー) ・プラークがつきにくい ・精密な型採り ・化学的な接着 ・2次虫歯になりにくい |
| 保険 | 保険外治療 |
| 料金 | 154,000円(税込) |
| 保証 | 10年保証 |
メタルボンド
(金属+セラミック)
| 透明感 | ★★★★☆ |
|---|---|
| 特徴 | ・変色着色しない ・摩耗しない ・プラークがつきにくい ・精密な型採り ・化学的な接着 ・2次虫歯になりにくい |
| 保険 | 保険外治療 内側に金属を用いる |
| 料金 | 121,000円(税込) |
| 保証 | 10年保証 |
エステニア
(セラミック+
プラスチック)
| 透明感 | ★★★☆☆ |
|---|---|
| 特徴 | ・変色着色しにくい ・摩耗しにくい ・プラークがつきにくい ・精密な型採り ・化学的な接着 ・2次虫歯になりにくい |
| 保険 | 保険外治療 内側に金属を用いることがある |
| 料金 | 88,000円(税込) |
| 保証 | 10年保証 |
レジン前装冠
(金属+プラスチック)
| 透明感 | ★☆☆☆☆ |
|---|---|
| 特徴 | ・変色着色する ・摩耗する ・プラークがつきやすい ・2次虫歯になりやすい |
| 保険 | 保険 内側に金属を用いる |
奥歯のかぶせ物
フルジルコニア
| 素材 | ジルコニア 100% |
|---|---|
| 耐久性・強度 | 非常に高い |
| 摩耗 | しない |
| 変色・着色 | しない |
| 二次虫歯 | なりにくい |
| 料金 | 121,000円(税込) |
| 保証 | 10年間 |
| 備考 | ・すべての歯に適用可 ・化学的な接着 ・ブリッジ可能 ・プラークがつきにくい |
エステニア
| 素材 | セラミック 90% プラスチック 10% |
|---|---|
| 耐久性・強度 | 高い |
| 摩耗 | しにくい |
| 変色・着色 | しにくい |
| 二次虫歯 | なりにくい |
| 保証 | 10年間 |
| 料金 | 88,000円(税込) |
| 備考 | ・すべての歯に適用可 ・化学的な接着 ・ブリッジ可能 ・金属を使うケースあり |
CAD/CAM冠
| 素材 | セラミック 60% プラスチック 40% |
|---|---|
| 耐久性・強度 | やや低い |
| 摩耗 | する |
| 変色・着色 | する |
| 二次虫歯 | - |
| 保証 | - |
| 備考 | ・保険治療 ・奥歯の一部に適用 ・接着性能に劣る ・ブリッジは不可 ・脱離/破損リスクあり |
銀歯
| 素材 | 銀等の合金 |
|---|---|
| 耐久性・強度 | 高い |
| 摩耗 | しない |
| 変色・着色 | - |
| 二次虫歯 | - |
| 保証 | - |
| 備考 | ・保険治療 ・奥歯に適用 ・化学的な接着ではない ・2次虫歯になりやすい ・ブリッジ可能 ・歯肉の変色を招くことがある |
奥歯の部分的なかぶせ物
オールセラミック
(審美性に優れた
高強度セラミック)
| 特徴 | ・完全メタルフリー ・変色しない ・摩耗しない ・化学的な接着 ・2次虫歯になりにくい ・強度が高い (従来セラミックの5倍) |
|---|---|
| 保険 | 保険外治療 |
| 料金 | 77,000円(税込) |
| 保証 | 10年 |
エステニア
(セラミック+
プラスチック)
| 特徴 | ・完全メタルフリー ・変色しにくい ・摩耗しにくい ・化学的な接着 ・2次虫歯になりにくい |
|---|---|
| 保険 | 保険外治療 |
| 料金 | 49,500円(税込) |
| 保証 | 10年 |
ゴールド(金合金)
| 特徴 | ・劣化しにくい ・適合がよく2次虫歯になりにくい |
|---|---|
| 保険 | 保険外治療 |
| 料金 | 77,000円(税込) |
| 保証 | 10年 |
銀歯(銀合金)
| 特徴 | ・化学的な接着ではない ・2次虫歯になりやすい |
|---|---|
| 保険 | 保険治療 |

